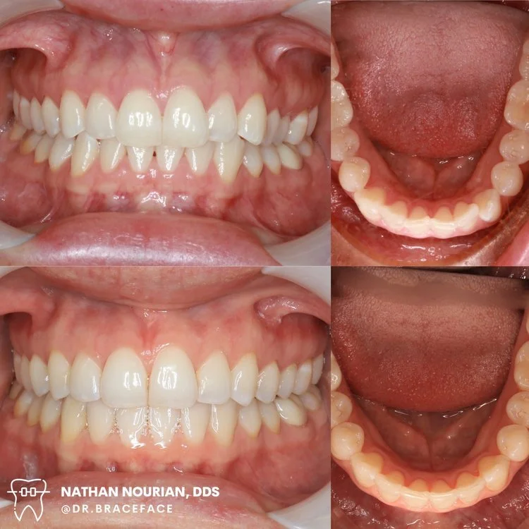
Orthodontics Before & After BOOK YOUR FREE CONSULT! BOOK YOUR FREE CONSULT! Laser Gum Removal Before & After BOOK YOUR FREE CONSULT! BOOK YOUR FREE CONSULT!